Cách thức lựa chọn bộ gen có thể tăng nhanh khả năng đề kháng của tôm thẻ chân trắng ...
Xem chi tiếtMột nghiên cứu mới đây của Jee Eun Han và cộng sự vừa đăng trên tạp chí Aquaculture Alliance ...
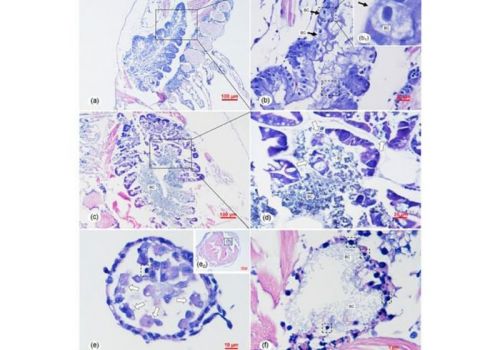
Xem chi tiếtCon đường nhâm nhiễm của một trong những căn bệnh gây chết hàng loạt và tốn kém nhất của ...
Xem chi tiếtMột nhóm các nhà khoa học đã xác định được hai chi vi khuẩn, cùng với Enterocytozoon hepatopenaei (E
Xem chi tiếtGần đây, một loại bệnh mới được gọi là “translucent post-larvae disease” bệnh hậu ấu trùng trong suố
Xem chi tiếtHiện tượng kháng kháng sinh đã không còn quá xa lạ đối với người dân nuôi tôm, nếu lạm ...
Xem chi tiếtGiá tôm nuôi đã tăng trở lại, việc tiêu thụ cũng thuận lợi hơn. Nắm bắt cơ hội này, ...
Xem chi tiếtĐể phát triển ngành thủy sản thành ngành kinh tế quan trọng, bền vững, thích ứng với biến đổi ...
Xem chi tiếtChế biến vỏ tôm thành phân bón hữu cơ đã được nhiều hộ nuôi tôm công nghệ cao tại ...
Xem chi tiếtGiai đoạn 2021-2025, tỉnh Trà Vinh phấn đấu ngành thuỷ sản tăng trưởng từ 5%/năm trở lên, giá trị ..
Xem chi tiếtMột đánh giá về các nghiên cứu khoa học mới nhất cho thấy, việc sử dụng bột cá trong ...
Xem chi tiếtQuy trình nuôi tôm an toàn được chia thành 2 giai đoạn: Giai đoạn 1: Ương (dèo) trong bể/ao ...
Xem chi tiếtTrong những năm gần đây ngành nuôi trồng thủy sản đặc biệt là nuôi tôm đang phát triển mạnh ...
Xem chi tiếtNuôi trồng thủy sản thâm canh đóng một vai trò thiết yếu trong việc đáp ứng nhu cầu với ...
Xem chi tiếtPhát hiện sớm và ứng phó khẩn cấp thích hợp có thể ngăn chặn hiệu quả sự tiến triển ...
Xem chi tiếtẢnh minh họaĐây là một trường hợp khẩn cấp về sức khỏe tôm nuôi! Sau khi được xác định, ...
Xem chi tiếtSau khi sụt giảm sâu trong 2 tháng liên tiếp do giãn cách xã hội, phòng chống Covid, với ...
Xem chi tiếtBiofloc là giải pháp công nghệ đang được thử nghiệm và ứng dụng rộng rãi trong những năm gần ...
Xem chi tiếtVASEP dự báo xuất khẩu thủy sản Việt Nam sang Trung Quốc trong quý IV chỉ đạt 242 triệu ...
Xem chi tiếtXây những chiếc bể, làm những chiếc ao ví như “khách sạn 5 sao” để nuôi tôm công nghệ ...
Xem chi tiếtChúng tôi luôn nỗ lực mang đến các sản phẩm, dịch vụ chất lượng tốt nhất đáp ứng sự hài lòng của quý khách hàng.
Công ty Cổ Phần Vietko Bio
Địa chỉ: Số 11 đường Nguyễn Đăng, khu 2, Phường Suối Hoa , Thành phố Bắc Ninh, Tỉnh Bắc Ninh, Việt Nam
Điện thoại: 0222.652.0246
Email: info@vietkobio.com
Website: https://vietkobio.com
Hãy đăng ký để nhận báo giá mới nhất của chúng tôi