AMIP – Ký sinh trùng trên tôm thẻ chân trắng
Một nghiên cứu mới đây của Jee Eun Han và cộng sự vừa đăng trên tạp chí Aquaculture Alliance đã phát hiện ra ký sinh trùng amip mới gây bệnh đen mang trên tôm thẻ chân trắng. Đây là báo cáo đầu tiên về ký sinh trùng đơn bào amip trong tôm thẻ chân trắng

Tôm nhiễm đơn bào Amip khiến tổn thương nghiêm trọng ở mang và vỏ giáp đầu ngực, mang đen (A); mất phiến mang và vỏ giáp đầu ngực bị bào mòn (B).
Sàng lọc ban đầu
Động vật nguyên sinh Paramoeba sp. (đồng nghĩa với Neoparamoeba sp.) phổ biến và thường sống tự do ở các vùng biển. Đây là một ký sinh trùng đơn bào đơn bào amip nguy hiểm và gây bệnh phổ biến cho cá nuôi. Nhiều loài Paramoeba cũng đã được báo cáo gây bệnh cho một số loài giáp xác và động vật da gai như tôm hùm, cua biển và nhím biển. Khi nhiễm trùng nặng sẽ dẫn đến cái chết gây thiệt hại đáng kể về kinh tế. Động vật thân mềm hai mảnh vỏ như trai cũng đã có thể là ổ chứa môi trường tiềm năng cho động vật nguyên sinh này.
Thiết lập nghiên cứu
Tôm thẻ chân trắng trưởng thành (trọng lượng trung bình 30g) từ một trại sản xuất tôm giống ở Bắc Mỹ có biểu hiện giảm ăn, giảm vận động và suy hô hấp. Tỷ lệ chết lên đến 62,52% tại thời điểm 120 ngày sau khi thả. Tôm bị bệnh có mang đen, mất phiến mang và vở đầu ngực bị ăn mòn. Bệnh tích này được nghi ngờ là nhiễm nấm do loài Fusarium gây ra. Tuy nhiên, bằng phương pháp quan sát trực tiếp mẫu vật tươi dưới kính hiển vi đã phát hiện ra sự có mặt của ký sinh trùng đơn bào amip.

(A) Biến thể hình thái của Amip; (B) Amip sống tự do (tỷ lệ 20 µ)
Kiểm tra mô bệnh học (H&E)
Điều đáng chú ý nhất trong quá trình kiểm tra bằng kính hiển vi đối với các mẫu nghiên cứu là sự hiện diện của ký sinh trùng amip. Sự phá hoại của ký sinh trùng này chủ yếu được tìm thấy ở mang gây ra hậu quả nghiêm trọng, cùng với sự tăng sản rộng rãi kết nối và hình thành khoảng không giữa các sắc ký bản mỏng.
Theo người nuôi, tôm nhiễm bệnh có biểu hiện bỏ ăn, kém vận động, suy hô hấp và cuối cùng là chết. Những điều này có thể liên quan đến những tổn thương ở mang (cơ quan hô hấp)

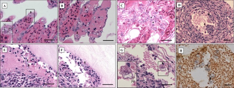
Tôm nhiễm ký sinh trùng amip (Paramoeba sp). được tìm thấy trong một số mô bằng cách kiểm tra mô bệnh học và phương pháp lai tại chỗ.
A, B, C : Mang; D: Râu; E: Các khu vực dưới da; F: Biểu mô, biểu bì; G: Bao ngoài bó sợi thần kinh; H: Bằng cách lai tại chỗ, cho thấy sự hiện diện của ký sinh trùng trong tuyến ăng-ten.
Các ký sinh trùng amip này cũng được quan sát thấy ở các cơ quan khác như tuyến ăng-ten, tế bào lympho, biểu mô biểu bì, lớp dưới da và mô liên kết xung quanh dây thần kinh bụng của tôm.
Xét nghiệm PCR và phân tích trình tự
Các đoạn DNA được phát hiện ở các mẫu tôm thử nghiệm, bằng xét nghiệm PCR nhắm vào trình tự rRNA SSU. Kết quả cho thấy trình tự nucleotide giống 100% với trình tự của Paramoeba sp. (Neoparamoeba sp.). Trong tôm được kiểm tra, ký sinh trùng có đặc điểm mô học của loài ký sinh trùng Paramoeba sp., nhưng không phát hiện thấy các dải PCR đối với các mồi được tạo ra từ P. perurans, P. pemaquidensis hoặc P. Branchiphila. Do đó, các nhà khoa học cho rằng đây có thể là một loài Paramoeba mới gây bệnh trên tôm.
Lai giống tại chỗ
Phương pháp ISH cũng có thể được sử dụng để xác định các tác nhân gây bệnh nhiễm đơn bào. Đối với ISH, mẫu dò gen giống Paramoeba được tạo ra từ trình tự rRNA SSU của tôm nhiễm amip và được lai với tế bào amip trong mẫu đại diện, tương ứng với kết quả mô bệnh học.
Cho đến nay, ký sinh trùng đơn bào amip Paramoeba sp. đã được báo cáo ở một số loài giáp xác biển, bao gồm tôm hùm và cua Mỹ, nhưng không có trong tôm nuôi. Nghiên cứu này là báo cáo đầu tiên về nhiễm trùng do ký sinh trùng đơn bào amip Paramoeba sp. trong mang của tôm thẻ chân trắng nuôi trong một trại giống tôm ở Bắc Mỹ. Rất có thể nhiễm trùng amip là do các yếu tố căng thẳng, chẳng hạn như nhiệt độ nước tăng hoặc độ mặn cao, kết hợp với mật độ thả cao tạo ra lợi thế cho protozoan tự nhiên có trong môi trường biển gây bệnh. Ở tôm, nhiễm amip đã dẫn đến tỉ lệ chết đáng kể và thiệt hại kinh tế liên quan. Do đó, các xét nghiệm chẩn đoán ISH và PCR được phát triển nghiên cứu có thể cung cấp dữ liệu thông tin hữu ích cho người nuôi tôm theo dõi nhiễm trùng amip trong các trang trại nuôi tôm và có thể sử dụng làm phương pháp sàng lọc ban đầu cho đơn bào amip ở tôm.
www.aquaculturealliance.org


There is no comment