Bệnh hậu ấu trùng trong suốt trên tôm thẻ
Gần đây, một loại bệnh mới được gọi là “translucent post-larvae disease” bệnh hậu ấu trùng trong suốt (TPD) hoặc “glass post-larvae disease” bệnh hậu ấu trùng thủy tinh (GPD) ở tôm thẻ chân trắng (Penaeus vannamei) đang trở thành mối đe dọa cho nghề nuôi tôm ở Trung Quốc.
Phân bố
Kể từ tháng 3 năm 2020, bệnh hậu ấu trùng trong suốt TPD được phát hiện trên diện rộng ở một số trại giống tôm thẻ chân trắng (P. Vannamei) tỉnh Quảng Đông và Quảng Tây, sau đó vào tháng 4 năm 2020 bệnh mới này bắt đầu lây lan sang các vùng nuôi tôm chính ở phía bắc Trung Quốc thông qua vận chuyển tôm hậu ấu trùng (PL).
Bệnh hậu ấu trùng trong suốt ảnh hưởng đến tôm thẻ chân trắng giai đoạn hậu ấu trùng từ 4 đến 7 ngày tuổi (PL4 ~ PL7) với khả năng lây nhiễm rất nặng. Thông thường, tỷ lệ mắc bệnh của đàn có thể lên đến 60% vào ngày thứ hai (sau lần đầu tiên quan sát thấy những cá thể bất thường) và trong những trường hợp nghiêm trọng có thể lên đến 90-100% vào ngày thứ ba. Tôm bị bệnh hậu ấu trùng trong suốt có các dấu hiệu lâm sàng giống nhau như: gan tụy nhợt nhạt hoặc không màu và đường tiêu hóa trống rỗng, làm cho cơ thể trở nên trong suốt và mờ đi; do đó, những cá thể bị bệnh này được nông dân địa phương đặt tên là “ấu trùng trong suốt” hoặc “ấu trùng thủy tinh”.
Nguyên nhân
Ying Zou và cộng sự 2020 đã lấy mẫu tôm bị bệnh TPD để sàng lọc mầm bệnh và xét nghiệm PCR chỉ ra rằng tôm bị TPD không phải là các mầm bệnh đã biết như: vi rút hội chứng đốm trắng (WSSV), vi rút gây bệnh hoại tử cơ quan tạo máu và cơ quan lập biểu mô (IHHNV), VAHPND, SHIV, vi rút đầu vàng (YHV), vi rút gây hội chứng Taura (TSV) và vi rút gây bệnh hoại tử cơ (IMNV). Những kết quả này cho thấy TPD có thể do một mầm bệnh mới xuất hiện gây ra.
Phân tích trình tự gen 16S rRNA cho thấy tất cả 10 chủng có ưu thế bao gồm JS20200428004-2 thuộc chi Vibrios có mức độ tương đồng cao với V. parahaemolyticus (99,93%). Việc xác định thêm phân loại vi khuẩn được thực hiện bằng kỹ thuật MLSA cho thấy chủng JS20200428004-2 là chủng gần nhất với V. Parahaemolyticus.
Phân tích khả năng gây bệnh của V. Parahaemolyticus trong thử nghiệm thử thách chỉ ra rằng các dấu hiệu lâm sàng điển hình tương tự như các dấu hiệu của TPD tại trang trại. Sự khởi phát và tiến triển của bệnh trong thử nghiệm thách thức cũng như tỷ lệ tử vong tương tự tôm bị TPD nuôi trong trang trại. Do đó, V. parahaemolyticus mới ( Vp -JS20200428004-2) được suy luận là tác nhân gây bệnh hậu ấu trùng trong suốt TPD.
Tác nhân gây bệnh mới cho thấy độc lực cao đối với tôm thẻ giai đoạn hậu ấu trùng và có thể gây ra những thay đổi mô bệnh học cấp tính, nghiêm trọng ở gan tụy và ruột giữa của tôm.
Triệu chứng
Dấu hiệu lâm sàng của tôm nhiễm TPD
Gan tụy và đường tiêu hóa của tôm hậu ấu trùng nhợt nhạt và không màu (ảnh a bên dưới). Số lượng lớn các cá thể tôm hậu ấu trùng bị chìm xuống đáy bể nuôi do bệnh gây ra sự giảm sút khả năng bơi lội.
.png?1637225770390)
Các dấu hiệu lâm sàng của tôm thẻ chân trắng bị ảnh hưởng bởi Bệnh hậu ấu trùng trong suốt (TPD). Hình a: Tôm thẻ được thu thập từ các bể ương tôm post bị bệnh TPD. Hình b: Tôm thẻ từ thử nghiệm ngâm nước. Tất cả con tôm đều ở giai đoạn PL7 và chiều dài cơ thể xấp xỉ 0,6–0,9 cm. Tôm bệnh TPD (biểu thị bằng các mũi tên màu trắng) với gan tụy bất thường và hoại tử đường tiêu hóa.
Phân tích mô bệnh học
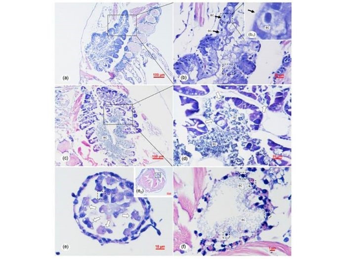
Kiểm tra mô bệnh học của các cá thể bị nhiễm bệnh tự nhiên cho thấy rằng có sự hoại tử, cũng như bong tróc của các tế bào biểu mô xảy ra trong ống gan tụy và ruột giữa (Hình 2). Trong giai đoạn đầu của nhiễm trùng, ít có sự hoại tử của các tế bào biểu mô ở ống gan tụy (Hình 2a, b) nhưng lại rất nghiêm trọng ở giữa giai đoạn giữa (Hình 2e). Các dấu hiệu điển hình của sự xâm nhập vi khuẩn đáng kể cả trong ống lumen của gan tụy và ruột giữa có thể được quan sát thấy trong giai đoạn nhiễm trùng cấp tính (Hình 2c, d, f).

Hình 2. Mặt cắt mô học của tôm nhiễm bệnh tự nhiên trong các bể nuôi tôm post. (a , b) Giai đoạn đầu với sự phá hủy gan tụy. Hoại tử nhẹ của các tế bào biểu mô (ECs) của gan tụy (HP), đặc biệt là các EC trong các hộp chấm cho thấy nhân tế bào sẫm màu, nhỏ và đặc hơn. Sự xâm chiếm của vi khuẩn (BC) trong giai đoạn đầu của quá trình lây nhiễm được đánh dấu bằng mũi tên đen. Bong tróc của tế bào biểu mô gan tụy (mũi tên màu trắng). (e , f ) Ruột giữa đường tiêu hóa có biểu hiện hoại tử (hộp chấm) và bong tróc tế bào biểu mô của đường tiêu hóa (mũi tên trắng).
.jpg?1637225851021)
Sự xâm chiếm của vi khuẩn trong gan tụy HP của tôm hậu ấu trùng bị nhiễm bệnh trong tự nhiên tại các bể nuôi tôm post dưới kính hiển vi. Hình b là ảnh hiển vi được phóng đại của khu vực trong khung màu đen ở a.
Phòng trị
Đây là một mầm bệnh mới nổi do đó chưa có biện pháp phòng trị cụ thể. Tuy nhiên, một số nông dân nuôi tôm ở Trung Quốc nhận thấy rằng việc xử lý nước trong bể nuôi bằng chất kháng khuẩn có thể làm giảm bệnh hậu ấu trùng trong suốt.


There is no comment