AHPND: Phát hiện sớm giúp kiểm soát bệnh tốt hơn
Phát hiện sớm và ứng phó khẩn cấp thích hợp có thể ngăn chặn hiệu quả sự tiến triển của dịch AHPND ở những tôm giống khỏe mạnh
Phát hiện sớm, ứng phó khẩn cấp ngăn chặn sự tiến triển của dịch
Báo cáo trường hợp lâm sàng xảy ra tại một cơ sở sản xuất tôm thẻ chân trắng (Penaeus vannamei) tại Trung Mỹ. Bệnh cấp tính đã xảy ra ở một trong năm bể ương 100 tấn được thả vào cùng ngày từ một lô tôm post (PL) thông thường. Mật độ thả là 1,5 triệu con/ bể (15 con/ l). PL ốm và chết không được quan sát thấy (tại thời điểm đó hoặc sau đó) trong bốn bể ương khác trong tòa nhà vườn ươm kín.
Quy trình quản lý hàng ngày đối với năm bể bao gồm thay nước thường xuyên từ 10 – 20% lượng nước. Tiến hành cho ăn thức ăn thương mại cứ 2 giờ một lần cho cả 4 bể ương. Không kiểm tra hoặc hút định kỳ để loại bỏ cặn tích tụ cho đáy bể. Các sản phẩm probiotic không được sử dụng trong bể nuôi trước hoặc sau khi bệnh khởi phát. Không có biện pháp quản lý hóa học hoặc sinh học thông thường nào khác được áp dụng trong năm bể.
Quan sát lâm sàng
Các dấu hiệu lâm sàng bắt đầu xảy ra tại PL16, tức là 4 ngày sau khi thả. Vào ngày phát hiện bệnh, các thông số chất lượng nước ban đầu được quan sát bao gồm nhiệt độ nước 28,7oC, độ mặn 29 ppt và oxy hòa tan (DO) 5,3 mg/ L (sử dụng sục khí với quạt nước). Độ pH của nước không được đo. Độ đục được coi là cao nhưng các phép đo đĩa Secchi không được ghi lại, với lượng chất hữu cơ dồi dào, lơ lửng trong cột nước của năm bể. Độ đục đến mức không thể nhìn thấy đáy của bể bị ảnh hưởng cũng như các bể ương khác khi bể đầy.
Hầu hết PL16 dường như không bị ảnh hưởng trong bể. PL16 bất thường có gan tụy (HP) teo lại, cơ thể đổi màu trắng, ruột rỗng, bơi trên bề mặt thất thường và mất “phản xạ thoát thân”. Chẩn đoán giả định là AHPND cho căn bệnh này và chẩn đoán phân biệt giả định là Bệnh đốm trắng (WSD) hoặc nhiễm độc hóa học (ví dụ amoniac).
Các phương pháp can thiệp
- Giảm mực nước trong bể
- Hút hết các chất thải ra khỏi bể, thay nước hoàn toàn.
- Hàng ngày thay 100% nước và hút bùn đáy để loại bỏ cặn bẩn và chỉ cho ăn khi thức ăn cũ đã được tiêu thụ hết. Thực hiện liên tục cho đến khi cách thời điểm thu hoạch 5 ngày.
Khi quá trình can thiệp vào bể tiến triển, các nhân viên đã thu thập và bảo quản các mẫu PL còn lại để làm PCR và phân tích mô học. Vài giờ sau khi khắc phục, tỷ lệ tử vong do PL đã giảm xuống dưới mức phát hiện bằng quan sát bằng mắt. Không quan sát thêm tỷ lệ tử vong của PL vào ngày hôm sau và những ngày sau đó. Năm ngày sau khi bệnh bắt đầu, năm bể đã được thu hoạch. PL trong tất cả các bể đều khỏe mạnh và hoạt động tốt. Tỷ lệ sống sót khi thu hoạch là 70% đối với bể bị ảnh hưởng bởi AHPND và tỷ lệ sống sót trung bình là ± 83,5 và ± 0,027% đối với bốn bể ương không bị ảnh hưởng (Hình 1).

Hình 1: PL bị ảnh hưởng bởi AHPND (mũi tên), gan tụy (HP) nhợt nhạt, giảm sắc tố, cơ bụng mờ đục (không rõ lắm do thấp – thìa trắng – cản quang). Inset hiển thị PL lành mạnh để so sánh.

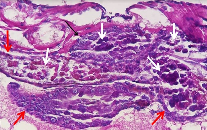
Hình 2: Gan tụy (HP), PL (AHPND cấp tính). Các ống HP có thể nhìn thấy (mũi tên màu đỏ) và các cụm tế bào biểu mô HP (mũi tên dày) hình thành rõ ràng trong lòng ống. Không có vi khuẩn (tế bào hoặc khuẩn lạc) hoặc viêm nhiễm (thâm nhiễm tế bào máu/ vùng mô melanized) trong phần này. H&E, 400X.

Hình 3: Tỷ lệ sống sót của PL khi thu hoạch
Kết quả phân tích trong phòng thí nghiệm, thảo luận
Báo cáo của phòng thí nghiệm cho biết cả xét nghiệm AP4 PCR và mô bệnh học đều dương tính với AHPND. Ngoài ra, không quan sát thấy vấn đề nào nghiêm trọng khác.

Hình 4: Tỷ lệ chết được ghi nhận hàng ngày tại bể 6.
Bể thí nghiệm số 6 là bể duy nhất bị ảnh hưởng bởi AHPND. Loại bỏ khả năng do yếu tố chung cho tất cả các bể như chất lượng nước đầu vào, chất lượng PL khi các bể được thả, chất lượng thức ăn được áp dụng cho tất cả các bể PL… đã nuôi dưỡng AHPND, nguyên nhân được xác định là do yếu tố khởi đầu chỉ giới hạn ở bể 6. Theo ý kiến của các nhà nghiên cứu, yếu tố kết tủa là do hành động vô tình cho ăn quá mức vào đêm trước khi bắt đầu xuất hiện AHPND trong bể 6. Một trong những nhà nghiên cứu (JAB) và đồng tác giả đã báo cáo vào năm 2015, thức ăn thừa đã được AHPND Vp xâm nhập trong vòng khoảng 4 giờ sau khi ủ, thức ăn bị ô nhiễm gây ra nguy cơ rủi ro (AHPND) đáng kể cho tôm khi ăn phải thức ăn nhiễm khuẩn và nhiễm độc tố PirA / B.
Dữ liệu đường cong tỷ lệ tử vong giải thích rằng độc tố Pir A/ B đã được xây dựng và tích lũy trong thức ăn thừa và các chất cặn hữu cơ dưới đáy bể. Giả thuyết được đưa ra rằng, trong đêm PL đã tiêu thụ lượng thức ăn dư thừa hư hỏng kết hợp với mảnh vụn dưới đáy, chúng đã tiêu thụ lượng vi khuẩn dồi dào mức độc tố Pir A/B có hại.
Các gen độc tố Pir dường như được điều chỉnh khi vi khuẩn gây độc tố Pir A/B gặp phải các điều kiện môi trường và chất dinh dưỡng sẽ hỗ trợ sự nhân lên nhanh chóng của vi khuẩn và cung cấp các điều kiện thích hợp để hấp thu, sản xuất độc tố Pir A/B. Tôm ăn phải độc tố Pir A/B gây hoại tử và bong tróc biểu mô ống gan tụy, lộ ra ngoài. Các mảnh vụn tế bào cung cấp một môi trường giàu chất dinh dưỡng kết hợp với mật độ cao của tôm nuôi có thể xuất hiện các vi khuẩn Vibrio spp. khác, tạo thành một căn bệnh đe dọa tính mạng đối với tôm nhiễm độc Pir A/B.
Kết luận
Báo cáo trường nhấn mạnh rằng việc kiểm soát AHPND có thể đạt được bằng biện pháp khắc phục nhanh chóng (Sidebar 3), khi sự khởi phát của bệnh được nhận biết sớm. Để ngăn ngừa AHPND, các tác giả nhấn mạnh tầm quan trọng của việc tránh cho ăn quá nhiều và thường xuyên kiểm tra, loại bỏ thức ăn thừa cũng như các chất cặn bã hữu cơ lơ lửng dưới đáy ao, bể ương hoặc ao lót bạt. Vệ sinh đáy bể ương là chìa khóa để tránh AHPND ở các vùng và khu vực có sẵn mầm bệnh AHPND Vp.
Tố Uyên (Lược dịch)


There is no comment