Triệu chứng tôm bệnh
Triệu chứng điển hình của tôm bệnh là sự xuất hiện của các đốm đen trên bụng. Bên cạnh đó, còn có các đốm đen có kích thước khác nhau ở chân bụng, chân ngực và đuôi. Khi mới xuất hiện bệnh, các phần phụ bộ bị thâm đen, sau đó xuất hiện một đốm đen nhẹ ở vỏ bụng. Diện tích vết đen tăng dần, thâm đen dần khi thời gian nhiễm bệnh tăng. Tỷ lệ các đốm đen trên mặt bụng của tôm bệnh tỷ lệ thuận với mật độ nấm.
Mặc dù không phải tất cả các con tôm chết đều thấy các đốm đen trên bụng, nhưng tất cả các con tôm đều có các phần phụ bị thâm đen ở mức độ khác nhau trong giai đoạn cuối nhiễm bệnh. Khi tôm lột xác thì các triệu chứng đốm đen trên bụng của tôm bệnh đã thuyên giảm đáng kể. Tuy nhiên, quan sát thấy có sự kết dính giữa vỏ cũ và mới tại các vị trí tổn thương, dẫn đến việc lột xác không thành công. Hơn nữa, các triệu chứng đen mang rất nhẹ được thấy ở một số ít con tôm bị nhiễm.
Đặc điểm mô bệnh học
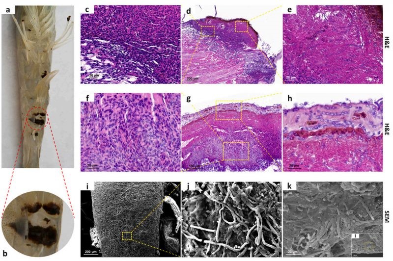
Kiểm tra mô học cho thấy lớp biểu bì tại vị trí đốm đen ở tôm bệnh đã bị phá hủy. Lớp màng ngoài và lớp màng bên trong có lớp màng sợi bị ép và biến dạng bởi sợi nấm, và các tế bào biểu mô của lớp màng bị hoại tử khiến ranh giới tế bào biến mất. Trong khi đó, sự lắng đọng melanin cũng được quan sát thấy trong lớp màng và mô dưới vỏ. Ngoài ra, sợi nấm có nhiều trong mô cơ, là nguyên nhân có thể gây ra hoại tử tế bào gốc.
Trong các tổn thương đốm đen ở bụng, phản ứng huyết cầu đối với sợi nấm cũng diễn ra. Ở vị trí tổn thương sự thâm nhiễm hồng cầu nặng và lắng đọng sợi giống collagen. Trong khi đó, nhiều lớp tế bào hemocytes fusiform bao bọc các sợi nấm để tạo thành các bọc này trong mô. Hơn nữa, chúng được bao quanh bởi một lượng lớn chất vô định hình do hoại tử đông tụ. Mô mang của một số tôm bệnh bị nhiễm bệnh cũng có sợi nấm xâm nhập, kèm theo một lượng nhỏ melanin.
Quét kính hiển vi điện tử
Quan sát bằng kính hiển vi điện tử cho thấy bề mặt của lớp biểu bì tại vết bệnh đốm đen ở bụng được bao phủ hoàn toàn bởi các sợi nấm. Sợi nấm có nhiều nhánh, quấn vào nhau, tạo thành cấu trúc mạng lưới không đều. Mô cơ bị các sợi nấm xâm nhập theo mặt cắt ngang. Đồng thời cũng thấy các sợi nấm xâm nhập trên mang của tôm bệnh.

Những tổn thương đốm đen do nhiễm nấm Fusarium solani và bệnh lý của nó đối với tôm thẻ chân trắng (mô bệnh học và trên kính hiển vi điện tử).
Hình thái của nấm bệnh
Khi nuôi cấy nấm F. solani trên môi trường Rose Bengal Agar, các sợi nấm phát triển và lan rộng, màu sắc của sợi nấm dần dần chuyển từ hồng sang nhạt, với một điểm đen ở trung tâm của một số khuẩn lạc. Quan sát dưới kính thì các bào tử có 1-2 vách ngăn và có hình bầu dục hoặc dạng lưỡi liềm, có chiều dài 8,7-13,1 μm và đường kính 3,2-5,1 μm. Các tế bào sợi nấm có nhiều nhánh và chia cắt ngang với đường kính 9,2- 11,5 μm.

Hình thái của Fusarium solani được phân lập từ tôm thẻ chân trắng.
Độc tính của F. solani đối với tôm thẻ chân trắng có thể gây chết 88,66% trong vòng 30 ngày ở liều 1,02×106 CFU/mL, và LC50 của F. solani ở 30 ngày là 3,37×104 CFU/mL. Tỷ lệ chết tích lũy cũng cho thấy sự phụ thuộc vào nồng độ. Đặc điểm mô bệnh học cho thấy phản ứng của tôm thẻ chân trắng chống lại F. solani là xâm nhập huyết cầu, sự bao bọc và melanin hóa, v.v … tại các vị trí tổn thương do đốm đen. Hơn nữa, nhiễm F. solani ở tôm thẻ chân trắng gây ra sự thất bại trong quá trình lột xác, và tiếp tục góp phần vào tỷ lệ chết ở các cá thể bị bệnh. Thông tin này sẽ hữu ích để cung cấp cơ sở lý thuyết cho việc phòng ngừa và kiểm soát sớm đốm đen.
Nguồn: Liang Y. et al., (2022). Identification of Fusarium solani as a causal agent of black spot disease (BSD.) of Pacific white shrimp, Penaeus vannamei. Aquaculture 548. 737602
Hồng Huyền và Nguyễn Hân
Nguồn tin: Tepbac.com


There is no comment