Tại Công văn số 762/VPCP-KSTT ngày 29/01/2022 của Văn phòng Chính phủ, Phó Thủ tướng Chính phủ Lê Vă
Xem chi tiếtHiện nay, mô hình nuôi tôm công nghệ cao tại tỉnh Bến Tre rất hiệu quả, nhiều người dân ...
Xem chi tiếtTheo Hiệp hội chế biến và xuất khẩu thủy sản Việt Nam, nhập khẩu tôm của Mỹ năm 2021 ...
Xem chi tiếtNgày 10/2, Bộ NNPTNT phối hợp với UBND tỉnh Bạc Liêu đã tổ chức hội thảo phát triển mô ...
Xem chi tiếtBệnh đốm đen trên tôm thẻ chân trắng được xác định là do nấm Fusarium solani, bệnh này gây ...
Xem chi tiếtTại một số đại lý thu mua thủy sản, hải sản ở chợ Trà Vinh trong một tuần nay ...
Xem chi tiếtĐể vụ nuôi tôm nước lợ năm 2022 thắng lợi, ngành nông nghiệp Khánh Hòa đã thông báo lịch ...
Xem chi tiếtNuôi tôm càng xanh toàn đực xen canh ruộng lúa theo tiêu chuẩn VietGap, mang lại hiệu quả cao, ...
Xem chi tiếtTừ mô hình cho con tôm chung nhà với cây lúa, một anh nông dân tuổi Dần đã thu ...
Xem chi tiếtThời điểm này, bà con nuôi tôm ở tiểu vùng 3 và 4 trên địa bàn huyện Bình Đại ...
Xem chi tiếtBiến đổi khí hậu ngày càng phức tạp gây không ít tác động xấu đến môi trường nuôi trồng ...
Xem chi tiếtTrong quá trình nuôi tôm, vấn đề người nuôi thường xuyên gặp phải là thức ăn thừa, rong tảo ...
Xem chi tiếtĐồng bằng sông Cửu Long có lợi thế về điều kiện tự nhiên, mô hình nuôi tôm lúa mặn ...
Xem chi tiếtDự báo xuất khẩu thủy sản của Việt Nam năm 2022 sẽ đạt 9,2 tỉ USD, tăng khoảng 3, ...
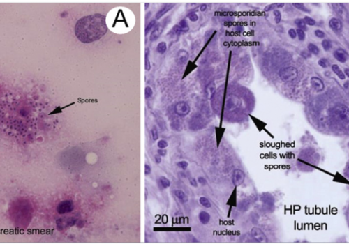
Xem chi tiếtEHP (Enterocytozoon hepatopenaei) hay còn gọi là bệnh chậm lớn trên tôm do vi bào tử trùng gây ra. .
Xem chi tiếtCơn bão số 9 năm 2021 đã gây thiệt hại hàng trăm tỷ đồng đối với người nuôi tôm ...
Xem chi tiếtNăm 2021, Việt Nam XK thủy sản sang gần 170 thị trường. Chỉ có một số ít thị trường ...
Xem chi tiếtNuôi tôm là thế mạnh của các huyện vùng hạ. Tuy nhiên, đây cũng là nghề đối diện với ...
Xem chi tiếtDo thời tiết bất lợi, một số vùng nuôi thủy sản không đảm bảo môi trường nên tình hình ...
Xem chi tiếtNông dân cần chủ động trong việc phòng, chống dịch bệnh trên tôm.Từ đầu năm đến nay, các loại ...
Xem chi tiếtChúng tôi luôn nỗ lực mang đến các sản phẩm, dịch vụ chất lượng tốt nhất đáp ứng sự hài lòng của quý khách hàng.
Công ty Cổ Phần Vietko Bio
Địa chỉ: Số 11 đường Nguyễn Đăng, khu 2, Phường Suối Hoa , Thành phố Bắc Ninh, Tỉnh Bắc Ninh, Việt Nam
Điện thoại: 0222.652.0246
Email: info@vietkobio.com
Website: https://vietkobio.com
Hãy đăng ký để nhận báo giá mới nhất của chúng tôi