Ngành công nghiệp tôm đã phải đối mặt với các bệnh truyền nhiễm nghiêm trọng, chẳng hạn như virus hội chứng đốm trắng (WSSV), virus gây bệnh hoại tử cơ quan tạo máu và cơ quan lập biểu mô (IHHNV), VAHPND, SHIV, virus đầu vàng (YHV), virus gây hội chứng Taura (TSV).
Trong thập kỷ qua, ngành này đã bị ảnh hưởng nặng nề bởi một số bệnh mới xuất hiện và tái xuất hiện. Một trong những bệnh chính đó là AHPND còn được gọi là hội chứng tôm chết sớm (EMS) là một bệnh do vi khuẩn gây ra. Bệnh này đã dẫn đến tỷ lệ tôm chết nghiêm trọng (lên đến 100%) trong quần thể tôm thẻ chân trắng và tôm sú và gây những tổn thất kinh tế đáng kể cho ngành nuôi tôm. Các dấu hiệu lâm sàng của bệnh AHPND là đường tiêu hóa rỗng, dạ dày có màu trắng đục, gan tụy teo, tôm lờ đờ, bỏ ăn và vỏ mềm (Leano and Mohan, 2012). AHPND lần đầu tiên được phát hiện ở Trung Quốc năm 2009 và đang nổi lên ở các nơi khác trên khắp Đông Nam Á, như: Thái Lan, Việt Nam, Malaysia và Philippines (Flegel, 2012; Leano và Mohan, 2012; Lightner và cs, 2012, Leobert và cs, 2015).
Tác nhân gây bệnh của AHPND được xác định là các chủng duy nhất của Vibrio parahaemolyticus (Tran Lộc và cs, 2013). Một độc tố nhị phân PirABvp, có sự tương đồng với độc tố tiêu diệt côn trùng (Pir) của Photorhabdus, được chứng minh là yếu tố độc lực của bệnh này. Năm 2016, Han và cộng sự đã tìm thấy 4 chủng V. campbellii có chứa hai gen pirAvp và pirBvp, có khả năng gây bệnh AHPND trên tôm. Điều này khẳng định 2 gen pirAvp và pirBvp chịu trách nhiệm trong việc quyết định độc tính của vi khuẩn gây bệnh AHPND và chúng có thể lan truyền theo chiều ngang giữa các loài vi khuẩn (từ V. parahaemolyticus sang V. campbellii) trong các ao nuôi tôm.
Gần đây, một loại bệnh mới được gọi là “translucent post-larvae disease” bệnh hậu ấu trùng trong suốt (TPD) hoặc “glass post-larvae disease” bệnh hậu ấu trùng thủy tinh (GPD) xảy ra ở nhiều trại sản xuất giống tôm thẻ chân trắng ở Trung Quốc từ cuối năm 2019.
Trong khi bệnh hoại tử gan tụy cấp tính AHPND xảy ra trong vòng 35 ngày sau khi thả tôm vào ao nuôi và trong một số trường hợp nghiêm trọng sự khởi đầu của các dấu hiệu lâm sàng của AHPND bắt đầu sớm nhất là 10 ngày sau khi thả nuôi. Thì bệnh hậu ấu trùng trong suốt TPD thường xảy ra trong giai đoạn hậu ấu trùng PL 6-12 ngày tuổi, sớm hơn nhiều so với AHPND.
Trong nghiên cứu của FengYang và cộng sự 2021, bệnh này TPD ảnh hưởng đến đến tôm thẻ chân trắng giai đoạn hậu ấu trùng 6-12 ngày tuổi và bệnh dẫn đến tỉ lệ chết hơn 90% trong vòng 24-48 giờ sau khi có dấu hiệu đầu tiên của các cá thể bất thường.

A, D tôm khỏe mạnh, B & E là tôm bị bệnh trong tự nhiên, C&F là tôm trong thử nghiệm gây bệnh. Ảnh từ nghiên cứu FengYang và cộng sự 2021.
Các dấu hiệu lâm sàng tổng thể điển hình bao gồm đường ruột rỗng không có thức ăn và gan tụy nhợt nhạt hoặc không màu làm cơ thể tôm bị bệnh nhìn trong suốt. Nghiên cứu mới đây của FengYang và cộng sự 2021 đã chỉ ra rằng “bệnh hậu ấu trùng thủy tinh” là do một tác nhân truyền nhiễm gây ra.
Ba chủng vi khuẩn Vibrio parahaemolyticus gây chết tôm cao là: chủng vp-HL-201910, vp-HL-202005 và vp-HL-202006 được phân lập từ tôm hậu ấu trùng nhiễm bệnh tự nhiên được thu thập từ các trang trại khác nhau. Chúng có liên quan rất chặt chẽ với nhau vì 16S rRNA và Gene Thermolabile Hemolysin của chúng giống hệt nhau. Các chủng này phát sinh bệnh lý giống nhau trên tôm thí nghiệm và có thể được phân lập lại thành công

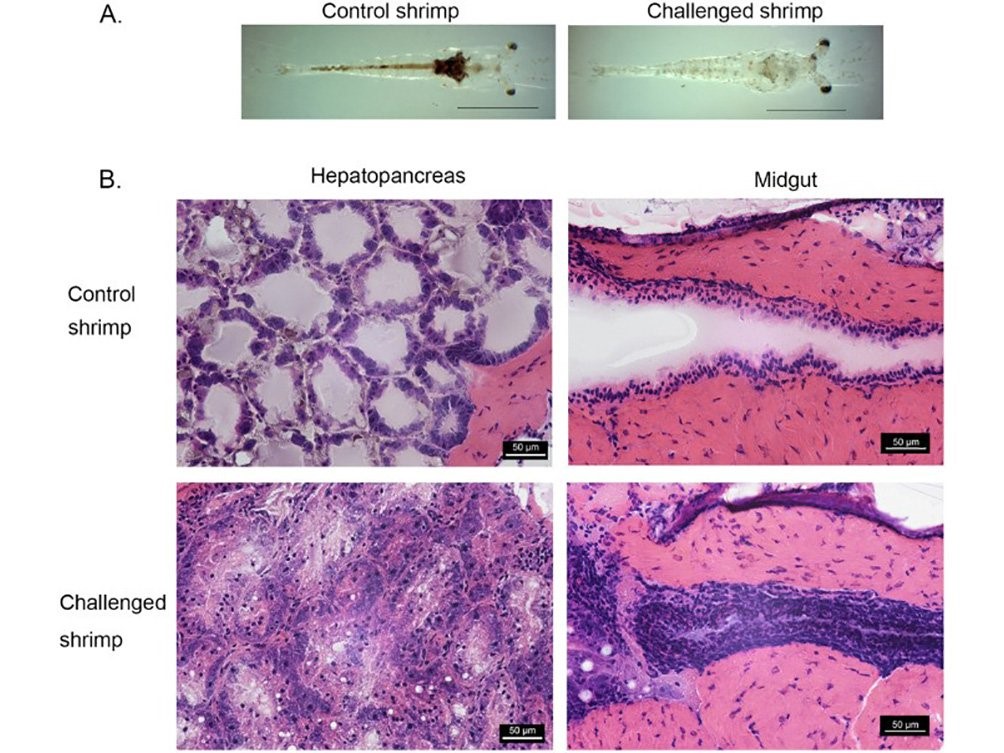
A hình ảnh tôm. B hình mô bệnh học. Control shrimp tôm khỏe mạnh, Challenged shrimp tôm bị gây bệnh trong phòng thí nghiệm. Ảnh từ nghiên cứu FengYang và cộng sự 2021.
Nghiên cứu gây bệnh cho tôm trong phòng thí nghiệm cho thấy cấu trúc bình thường của ống gan tụy và biểu mô ruột giữa bị phá hủy nghiêm trọng do chủng vi khuẩn đại diện là vp-HL-202005.
“Bệnh hậu ấu trùng trong suốt” do chủng vi khuẩn Vibrio parahaemolyticus mới có khả năng gây chết cao. Các nhà khoa học đổi tên nó thành “highly lethal Vibrio disease” Bệnh Vibrio gây chết cao (HLVD). Nghiên cứu so sánh cho thấy rằng chủng vi khuẩn mới vp-HL-202005 có độc lực cao gấp 1000 lần so với chủng gây bệnh hoại tử gan tụy cấp tính. Hơn nữa, chất nổi không có tế bào vi khuẩn của vp-HL-202005 vẫn gây ra triệu chứng tương tự ở tôm hậu ấu trùng, điều này cho thấy rõ ràng rằng bệnh là do (các) độc tố vi khuẩn gây ra.
Chủng HLVD gây ra những tổn thương nghiêm trọng ở gan tụy và ruột giữa và chủng này có độc lực mạnh hơn nhiều so với chủng AHPND do đó nó là một mối đe dọa nghiêm trọng đối với nghề nuôi tôm.
Nguồn tin: TSTB


There is no comment