AHPND, EMS: Cách phòng ngừa và giải pháp điều trị, xử lý
‘’Bệnh hoại tử gan tụy cấp’’ AHPND (Acute Hepatopancreatic Necrosis Disease) ban đầu được gọi là ‘’Hội chứng chết sớm EMS’’ (Early Mortality Syndrome) bởi tôm có thể bị chết sớm từ 10 ngày sau khi thả tôm và trong giai đoạn 35 ngày thả. Tuy nhiên việc gắn 2 khái niệm này thành 1 là không chính xác, gây các nhầm lẫn trong phương án điều trị và xử lý cho bà con nuôi tôm. Bởi ngoài AHPND, thì các mầm bệnh khác và một số yếu tố môi trường cũng gây chết sớm EMS
Trong bài viết này, sẽ giúp bà con làm rõ vấn đề của bệnh AHPND, các tác nhân khác có thể gây EMS, các yếu tố dẫn đến AHPND cũng như EMS, qua đó giúp bà con tìm thấy phương án phòng ngừa và xử lý hiệu quả ao tôm của mình trước bệnh AHPND và hội chứng EMS.
AHPND ghi nhận đầu tiên năm 2009 tại Trung Quốc và lây sang Việt Nam năm 2010 trên cả 2 đối tượng tôm thẻ và tôm sú. Từ đó đến nay AHPND gây thiệt hại nghiêm trọng về mặt sản lượng và hiệu quả kinh tế của bà con nuôi tôm nói riêng, ngành tôm Việt Nam nói chung.

Dấu hiệu tôm bị AHPND, dạ dày trống rỗng, gan tụy teo nhợt nhạt và rỗng ruột
Biểu hiện lâm sàng
Tôm bị AHPND giai đoạn đầu thường có biểu hiện vỏ mềm, bơi lờ đờ, rỗng ruột hoặc bị đứt đoạn, dạ dày không có thức ăn, gan tụy có màu từ nhạt đến trắng, có thể bị teo gan, giảm kích thước gan > 50%, tôm rớt đáy nhiều. Giai đoạn cuối của bệnh, các vết hoặc đốm đen do lắng đọng Melanin từ hoạt động của tế bào máu xuất hiện trong gan tụy. Khi đó tỷ lệ chết có thể lên đến trên 40%, thậm chí là chết hàng loạt 100%.
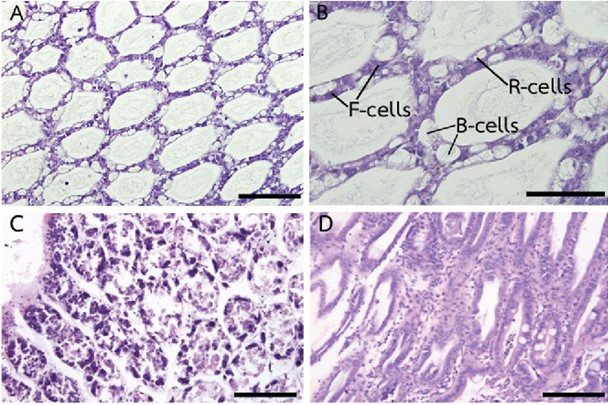
Biểu hiện trên mô bệnh học

Hình thái nguyên vẹn của các tế bào B, F và R trong các thùy gan tụy (A và B). Thay đổi mô học trong gan tụy của tôm bị ảnh hưởng bởi AHPND (C và D). Các khuyết tật gan tụy cho thấy các tế bào B, F và R bị bong tróc (C). Thâm nhiễm bạch cầu (D)
Tác nhân gây bệnh AHPND
Tác nhân gây bệnh được xác định là do nhiễm vi khuẩn Vibrio parahaemolyticus (VpAHPND), chứa một plasmid (pVA1) khoảng 70 kbp với các gen mã hóa của độc tố PirAvp và PirBvp. Trước khi xác định được tác nhân gây bệnh này, AHPND có tên gọi là AHPNS (Hội chứng gan tụy cấp – Acute Hepatopancreatic Necrosis Syndrome).
VpAHPND ban đầu đi vào dạ dày và sản sinh ra độc tố PirABvp trước, sau đó vào đến gan tụy nó lại sản sinh độc tố PirBvp gây bong tróc các tế bào biểu mô gan tụy, giai đoạn sau đó xuất hiện cả 2 loại độc tố này trong dạ dày cũng như ở gan tụy tôm. Điều đặc biệt quan tâm là các chủng V. parahaemolyticus độc lực và không độc lực đều kháng nhiều loại kháng sinh, cho thấy rằng việc sử dụng kháng sinh trong nuôi tôm cần được quản lý chặt chẽ hơn và nên có các biện pháp phòng ngừa, cạnh tranh sinh học thay thế.
Các tác nhân khác có thể làm tôm chết sớm EMS
Các bệnh khác cũng có thể làm tôm chết sớm như WSSV – đốm trắng, YHV – đầu vàng hay CMNV – virut Covert… tuy nhiên, biểu hiện lâm sàng có nhiều điểm khác biệt, nên dễ dàng phân biệt với AHPND. Tuy nhiên có nhiều trường hợp bội nhiễm, tôm bị chết bởi nhiều nguyên nhân đồng thời xảy ra. Điều quan trọng ở đây là bà con cần xét nghiệm tôm giống và nguồn nước ao nuôi trước khi thả để loại bỏ các nguy cơ gây bệnh từ khi thả tôm.
Ngoài ra các yếu tố hóa học trong môi trường nước như tảo độc, NO2, NH3, hóa chất dư thừa … đều có thể gây ra các dấu hiệu lâm sàng trên tôm giống như tôm bị gan tụy cấp.
Các yếu tố khác làm tôm suy yếu và thúc đẩy bệnh bùng phát như
- Nguồn nước độ mặn < 20 ‰ có tỷ lệ mắc bệnh thấp hơn nguồn nước có độ mặn cao
- Cho ăn quá nhiều; chất lượng thức ăn kém; chất lượng nước kém; hàm lượng oxy hòa tan thấp
- Chất lượng giống kém, chứa sẵn mầm bệnh…
- Hạ tầng ao, nền đáy ao, bạt lót cũ, chất lượng giảm do nuôi nhiều vụ
- Biến động môi trường mạnh, sốc thời tiết…
Cách phòng ngừa
- Sàng lọc, lựa chọn nguồn tôm giống chất lượng, test âm tính với các mầm bệnh.
- Chuẩn bị tốt hạ tầng ao nuôi, phơi nền đáy ao, sát trùng ao, nguồn cấp nước nuôi…
Dùng Anti Vib để đưa vào nước ao nuôi ngay từ trước khi thả tôm cũng như trong xuyên suốt quá trình nuôi tôm 1 lượng lớn hệ vi sinh vật có lợi, ức chế cạnh tranh trực tiếp với Vibrio parahaemolyticus, giúp ngăn ngừa sự bùng phát của Vibrio parahaemolyticus cũng như các khuẩn có hại khác trong ao nuôi.
- Hạn chế tối đa việc dùng chất diệt khuẩn, kháng sinh trong quá trình nuôi, bởi nếu không kiểm soát tốt, không những làm tôm yếu hơn, mà còn làm bệnh tôm nghiêm trọng hơn do hóa chất và kháng sinh không đúng loại, không đủ liều không làm chết Vibrio gây hại, mà còn làm chết hệ vi sinh có lợi, tạo điều kiện khuẩn độc bùng phát mạnh hơn.
- Bên cạnh Anti Vib, bà con nên thường xuyên dùng các sản phẩm vi sinh khác như Eco Aqua để ổn định và cân bằng sinh thái nước ao nuôi, Pond Clean sạch bạt, sạch nước hoặc AmBio Bott sạch đáy ao (với ao đất) để tạo môi trường sạch, thuận lợi cho tôm phát triển, cũng như hạn chế các mỗi nguy tiềm ẩn làm bùng phát dịch bệnh.
Cùng với việc lựa chọn thức ăn chất lượng, cho ăn không dư thừa thì việc phối trộn cùng thức ăn với các sản phẩm như: Ts Gold cung cấp vi sinh vật đường ruột có lợi, tăng hấp thụ, ức chế khuẩn gây hại đường ruột; AmBio Liver tăng cường chức năng gan, kích thích bắt mồi; Mv Food thúc đẩy sinh trưởng, chống stress và bổ sung đầy đủ vitamin, khoáng chất cho tôm sẽ giúp tôm phát triển tốt cũng như phòng ngừa được các tác nhân gây hại khác.
Cách xử lý, điều trị khi tôm có dấu hiệu EMS hoặc AHPND
- Việc đầu tiên cần phải làm là xác định nguyên nhân làm rớt tôm, nguyên nhân làm tôm rỗng ruột, bỏ ăn, gan tụy bị viêm, mờ hoặc teo… để có quyết định và cách xử lý đúng đắn.
- Tăng cường xi phông để loại bỏ tôm yếu, tôm bệnh, tránh ăn lẫn nhau gây nhiễm chéo.
- Tăng cường quạt hoặc oxy đáy để tăng oxy hòa tan trong ao
- Ổn định lại các chỉ số hóa lý trong ao nuôi nếu chưa đạt.
- Nếu nguyên nhân gây tôm chết sớm EMS là do các yếu tố virut như: WSSV, YHV… đề cập phía trên thì bà con nên thu tôm, diệt khuẩn ao, xử lý lại ao, phơi ao… để tránh lây nhiễm cho các ao khác và vụ sau.
- Nếu khí độc cao, tảo độc bùng phát hoặc biến động thời tiết bà con phải giảm hoặc ngừng ăn rồi tiến hành cắt tảo, hạ khí độc hoặc tiến hành các biện pháp chống sốc, thúc đẩy tôm hồi phục.
- Nếu Vibrio parahaemolyticus trong ao cao vượt mức và xác định nguyên nhân tôm rớt, tôm bệnh có thể do AHPND thì bà con nên tăng liều gấp 2-3 lần Anti Vib và đánh liên tục trong 3-4 ngày xuống ao nuôi để kìm hãm và giảm mạnh mật độ Vibrio parahaemolyticus có trong ao nuôi.
- Giảm ăn 50% trong giai đoạn này và sử dụng các sản phẩm vi sinh hỗ trợ khác như Eco Aqua để ổn định chất lượng nước và hệ sinh thái ao nuôi.
- Do giai đoạn này tôm yếu, kém ăn và gan tụy kém nên việc dùng tăng liều bộ 3 sản phẩm: Ambio Liver giúp tôm kích thích bắt mồi, bổ dưỡng và phục hồi tế bào gan tụy; AmBio TS tăng khả năng hấp thụ, tăng cường chức năng tiêu hóa; Mv Food tăng lực, chống stress, thúc đẩy sinh trưởng… là điều rất quan trọng để giúp tôm khỏe hơn và vượt qua giai đoạn bệnh.
Chúc quý bà con kiểm soát tốt chất lượng môi trường nước ao nuôi, kiểm soát tốt sức khỏe gan tụy, đường ruột tôm, kiểm soát tốt yếu tố con giống, dịch bệnh và giúp tôm khỏe chống lại các yếu tố bất lợi khác từ thời tiết… qua đó chúc bà con có những vụ nuôi thành công và bội thu.
Kính chúc bà con thành công!
AmBio – R&D


There is no comment